Türkiye'nin ilk 'tüp tay'ları doğacak!
Balıkesir Üniversitesi'nde yapılan çalışma kapsamında, 'Friesian' ırkı embriyoların transfer edildiği 3 kısraktan 2'si gebe kaldı. Balıkesir Üniversitesi Hayvancılık Uygulama ve Araştırma Merkezi öğretim üyesi Prof. Dr. Mehmet Can Gündüz, " Elde edilen gebelikler Türkiye'de atlarda embriyo transferi yoluyla üretilen ilk gebeliklerdir. 8 ay sonrasında doğacak taylar ise Türkiye'nin ilk tüp tayları olarak kayda geçecek" dedi.
Balıkesir Üniversitesi'nde yapılan çalışma kapsamında, 'Friesian' ırkı embriyoların transfer edildiği 3 kısraktan 2'si gebe kaldı. Balıkesir Üniversitesi Hayvancılık Uygulama ve Araştırma Merkezi öğretim üyesi Prof. Dr. Mehmet Can Gündüz, konuyla ilgili basın toplantısı düzenledi. Toplantıya Rektör Yardımcısı Prof. Dr. Fatih Satıl ve Veterinerlik Doğum ve Jinekolojisi Anabilim Dalı Başkanı Prof. Dr. Şükrü Metin Pancarcı da katıldı. Balıkesir Üniversitesi bünyesinde son dönemde önemli çalışmalar yapıldığını söyleyen Prof. Dr. Satıl, Balıkesir'in hayvancılık ve tarım alanında gelişmiş ve Türkiye'yi doyuran bir şehir olduğunu ve üniversite olarak şehre katkı sağlamak amacıyla da çalışmalarını sürdürdüklerini söyledi.
Veterinerlik Doğum ve Jinekolojisi Anabilim Dalı Başkanı Prof. Dr. Şükrü Metin Pancarcı ise daha verimli ırkların üremesi açısında inekler üzerinde de çalışmaların sürdüğünü belirtti.
'ZORLU BİR SÜREÇTEN GEÇTİK'
İstanbul Üniversitesi'nde başlayan çalışmaların ilk ürünlerini almaya başladıklarını söyleyen Balıkesir Üniversitesi Hayvancılık Uygulama ve Araştırma Merkezi öğretim üyesi Prof. Dr. Mehmet Can Gündüz, tüp tay yönteminde başarıya ulaşana kadar zorlu bir süreç ve birçok engeli aşmak zorunda kaldıklarını söyledi. Prof. Dr. Gündüz, "Bu dönemde bize destek olan dönemimizin rektörü bugünün YÖK üyesi olan Sayın Prof. Dr. Mahmut Ak'a ve gerçek bir hayvansever ve atlara karşı çok duyarlı olan dönemimizin valisi bugünkü İçişleri Bakanımız Sayın Ali Yerlikaya'ya çok teşekkür ederim" dedi.
'EMBRİYOLAR DONDURULARAK UZUN YILLAR SAKLANABİLİYOR'
Çalışmalar hakkında bilgi veren Prof. Dr. Gündüz, "'Friesian' ırkı atlardan elde edilen embriyolar farklı ırklardaki kısraklara transfer edildi. Embriyo transferi; bir kısrağın rahminden embriyonun alınması ve bir başka kısrağın rahmine transfer edilmesi olarak tanımlanabilir. Embriyo transferi temel olarak donör ve alıcı kısrakların seçimi ve senkronizasyonu, embriyoların toplanması ve değerlendirilmesi, alıcı kısraklara nakledilmesini içeren farklı aşamalardan oluşuyor. Yapılan çalışma ile yüksek verimli kısraklardan alınan embriyolar sağlıklı kısraklara nakledilerek bir aşım (çiftleşme) sezonunda birden fazla yavru alınabiliyor ve alınan embriyolar dondurularak uzun yıllar saklanabiliyor. Gebeliği sorunlu geçen ya da gebeliğini devam ettiremeyen kısrakların da embriyoları alınıp, sağlıklı kısraklara transfer edilebiliyor" ifadelerini kullandı.
'TÜP TAYLAR 8 AY SONRA DOĞACAK'
Bulunan embriyoların kalite yönünden değerlendirilmeye alındığını belirten Prof. Dr. Gündüz, sözlerini şöyle sürdürdü:
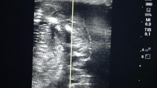
"Embriyo transfer kateteri yardımıyla alıcı kısraklara embriyolar transfer edildi. Transfer sonrasındaki 4'üncü günde ilk gebelik kontrolleri ultrasonografi yardımıyla yapıldı. Yapılan çalışmada bir adet donör ve 7 adet alıcı kısrak kullanıldı. Toplamda 6 adet yıkama gerçekleştirildi ve bunlardan 3'ünde embriyo elde edilerek alıcılara transferi gerçekleştirildi. Bu 3 kısraktan bir tanesinde 'embryonic rezorpsiyon' gerçekleşti, yani transfere rağmen gebelik devam etmedi. Diğer 2 kısrağın gebeliği ise sağlıklı bir şekilde devam ediyor. Elde edilen gebelikler Türkiye'de atlarda embriyo transferi yoluyla üretilen ilk gebeliklerdir. 8 ay sonrasında doğacak taylar ise Türkiye'nin ilk tüp tayları olarak kayda geçecek."
'EKONOMİK DEĞER KATACAK'
Normal şartlarda bir kısrağın senede bir yavru verebildiğini anlatan Prof. Dr. Gündüz, uygulama sayesinde elde edilen embriyo kadar yavru alınabileceğini söyleyerek, "Bunun bir diğer avantajı elde ettiğimiz embriyoları ister transfer edebiliriz, ister dondurarak saklayabiliriz. Bunu yurt dışına da satabiliriz. Yurt içinde belli şartlarda değerlendirebiliriz. Bundan sonraki çalışmalarımızda kısrağın yumurtasını toplayıp, aygırın spermini de alarak laboratuvar ortamında dölleme çalışmalarını hedefliyoruz. Bu şekilde çok daha hızlı ve çok daha başarılı bir şekilde bu kuşakların devam edecek" diye konuştu.







YORUMLAR