Sahipli kediyi havalı tüfekle vurdular
Muğla'nın Datça İlçesinde Defne Bardakçı'ya ait Köpük isimli kedi eve kanlar içinde geldi. Havalı tüfekle vurulduğu anlaşılan kedi Gökova Hayvan Hastanesinde ameliyata alındı.
20 Aralık 2020 - 14:11 - Güncelleme: 20 Aralık 2020 - 14:12
Olay, Muğla'nın Datça İlçesi Reşadiye Mahallesi Knidos Sokakta meydana geldi. Defne Bardakçı'ya ait kedi eve yaralı halde geldi. Köpük isimli kedinin kimliği belirsiz kişiler tarafından havalı tüfekle vurulduğu anlaşıldı.
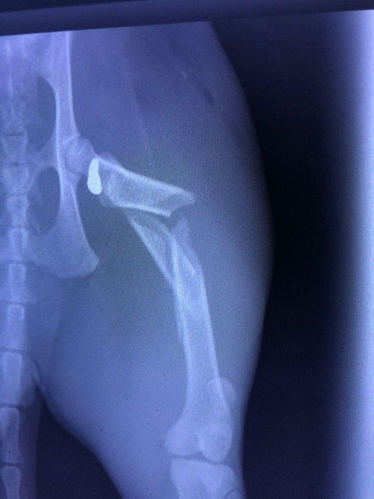
Kedinin sahibi Defne Bardakçı, "Kedimizin vurulduğunu fark edince hemen veterinere götürdük. Ameliyat için bizi Gökova Hayvan Hastanesine yönlendirdiler. Vücudunda 6 kırık tespit edildi. Hayvan hastanesinde gerçekleştirilen ameliyatla saçma çıkarıldı. Sokağa çıkma yasağında kedimiz dışarıda geziyordu. Datça gibi hayvansever bir ilçede böyle bir şey yaşamak bizi hem şaşırttı, hem de üzdü. Havalı tüfekle vurulduğu için sesi duymadık. Kedimiz eve yaralı halde kanlar içinde gelince şoke olduk" dedi.
Kedinin sahibi Defne Bardakçı, "Kedimizin vurulduğunu fark edince hemen veterinere götürdük. Ameliyat için bizi Gökova Hayvan Hastanesine yönlendirdiler. Vücudunda 6 kırık tespit edildi. Hayvan hastanesinde gerçekleştirilen ameliyatla saçma çıkarıldı. Sokağa çıkma yasağında kedimiz dışarıda geziyordu. Datça gibi hayvansever bir ilçede böyle bir şey yaşamak bizi hem şaşırttı, hem de üzdü. Havalı tüfekle vurulduğu için sesi duymadık. Kedimiz eve yaralı halde kanlar içinde gelince şoke olduk" dedi.








YORUMLAR